Lompat ke konten Lompat ke sidebar Lompat ke footer

Cauda Equina Syndrome Mri With Or Without Contrast

Cauda Equina Syndrome Radiology Reference Article Radiopaedia Org

Cauda Equina Syndrome Radiology Reference Article Radiopaedia Org

Cauda equina syndrome mri with or without contrast. Arnold Chiari Malformation No MRI Brain Without Bells Palsy Yes MRI Brain With and Without Brain Tumor Yes MRI Brain With and Without Cancer Any Type Yes MRI Brain With and Without. The diagnostic tool of choice for cauda equina syndrome is an MRI scan. Bladder volume scanning can be useful for detecting urinary retention.

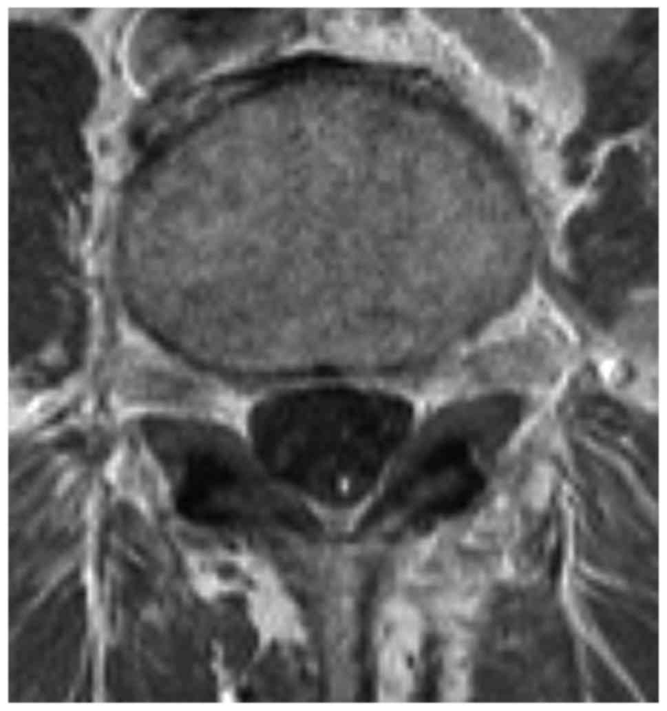
Magnetic resonance imaging MRI scan is essential to rule out cauda equina as no single or collective features will definitely confirm or exclude diagnosis. An MRI scan should either be performed on an urgent basis or an emergency basis depending upon the clinical situation. By contrast a cross sectional MRI view at L5S1 in a patient without cauda equina syndrome showing an unobstructed vertebral canal arrows from top down.

Cauda equina syndrome CES is a rare condition with a disproportionately high medico-legal profile. This portion of the spinal cord ends at the lower back and individual nerve roots at the end of the cord continue along the spinal canal and provide motor and sensory functions in the legs and bladder. Patients with this syndrome are often admitted to the hospital as a medical emergency.

Using MR imaging as the reference standard we performed statistical analysis to determine the accuracy of CT in predicting significant spinal stenosis percentage thecal sac effacement 50 and cauda equina impingement. Previous guidelines have suggested that imaging be performed. If a patient is thought to be in the first stage of the condition called incomplete cauda equina syndrome then the MRI scan is an emergency.

Cauda equina syndrome or other severe neurologic condition. It occurs most frequently following a large central lumbar disc herniation prolapse or sequestration. The British Association of Spine Surgeons BASS emphasized that an urgent MRI scan should be performed for suspected CES and decompressive surgery should be undertaken at the earliest.

High-fi eld strength MR magnets 15 T allow evaluation of the nerves their size enhancement and involvement by a path-ologic process. MRI scan for cauda equina syndrome. A patient should therefore be sent for an emergency MRI scan meaning within around four hours of presenting to hospital.

The presence or absence of cauda equina impingement was determined on MR imaging. Of a patient with cauda equina syndrome showing a large irregular disc herniation arrow occupying most of the vertebral canal.

Learn To Spot And Treat Cauda Equina Syndrome Page 4 Of 4 Acep Now Page 4

Learn To Spot And Treat Cauda Equina Syndrome Page 4 Of 4 Acep Now Page 4

Cauda Equina Syndrome Core Em

Cauda Equina Syndrome Core Em

Cauda Equina Syndrome The Bmj

Cauda Equina Syndrome The Bmj

Cauda Equina Syndrome Due To Leptomeningeal Carcinomatosis A Medical Dilemma Bmj Case Reports

Cauda Equina Syndrome Due To Leptomeningeal Carcinomatosis A Medical Dilemma Bmj Case Reports

Cauda Equina Syndrome Radiology Reference Article Radiopaedia Org

Cauda Equina Syndrome Radiology Reference Article Radiopaedia Org

Cauda Equina Redundant Nerve Roots Are Associated To The Degree Of Spinal Stenosis And To Spondylolisthesis

Cauda Equina Redundant Nerve Roots Are Associated To The Degree Of Spinal Stenosis And To Spondylolisthesis

Mr Imaging Findings In Cauda Equina Gnathostomiasis American Journal Of Neuroradiology

Mr Imaging Findings In Cauda Equina Gnathostomiasis American Journal Of Neuroradiology

Late Onset Cauda Equina Contrast Enhancement A Rare Magnetic Resonance Imaging Finding In Subacute Spinal Cord Infarction The Spine Journal

Late Onset Cauda Equina Contrast Enhancement A Rare Magnetic Resonance Imaging Finding In Subacute Spinal Cord Infarction The Spine Journal

Cauda Equina Compression Mri Radiology At St Vincent S University Hospital

Cauda Equina Compression Mri Radiology At St Vincent S University Hospital

Pdf Imaging In Cauda Equina Syndrome A Pictorial Review

Pdf Imaging In Cauda Equina Syndrome A Pictorial Review

Cauda Equina Syndrome Radiology Reference Article Radiopaedia Org

Cauda Equina Syndrome Radiology Reference Article Radiopaedia Org

The Usefulness Of Lumbar Spine Mri For Cauda Equina Syndrome

The Usefulness Of Lumbar Spine Mri For Cauda Equina Syndrome

Cureus Cauda Equina Syndrome As The Initial Presentation Of Concurrent Plasmacytoma And Multiple Myeloma

Cureus Cauda Equina Syndrome As The Initial Presentation Of Concurrent Plasmacytoma And Multiple Myeloma

The Usefulness Of Lumbar Spine Mri For Cauda Equina Syndrome

The Usefulness Of Lumbar Spine Mri For Cauda Equina Syndrome

Doing More With Less Diagnostic Accuracy Of Ct In Suspected Cauda Equina Syndrome American Journal Of Neuroradiology

Doing More With Less Diagnostic Accuracy Of Ct In Suspected Cauda Equina Syndrome American Journal Of Neuroradiology

Spinal Cord Ischemia Infarct After Cauda Equina Syndrome From Disc Herniation A Case Study And Literature Review Surgical Neurology International

Spinal Cord Ischemia Infarct After Cauda Equina Syndrome From Disc Herniation A Case Study And Literature Review Surgical Neurology International

Rapid Progression Of Acute Sciatica To Cauda Equina Syndrome Journal Of Manipulative Physiological Therapeutics

Rapid Progression Of Acute Sciatica To Cauda Equina Syndrome Journal Of Manipulative Physiological Therapeutics

Redundant Nerve Roots Of The Cauda Equina Review Of The Literature

Redundant Nerve Roots Of The Cauda Equina Review Of The Literature

Mri Of Inflammatory Spondyloarthropathy Following Traumatic Cauda Equina Syndrome Spinal Cord

Mri Of Inflammatory Spondyloarthropathy Following Traumatic Cauda Equina Syndrome Spinal Cord

Doing More With Less Diagnostic Accuracy Of Ct In Suspected Cauda Equina Syndrome American Journal Of Neuroradiology

Doing More With Less Diagnostic Accuracy Of Ct In Suspected Cauda Equina Syndrome American Journal Of Neuroradiology

Dr Balaji Anvekar Frcr Guillain Barre Syndrome Mri

Dr Balaji Anvekar Frcr Guillain Barre Syndrome Mri

Guillain Barre Syndrome And Low Back Pain Two Cases And Literature Review

Guillain Barre Syndrome And Low Back Pain Two Cases And Literature Review

Cauda Equina Syndrome The Bmj

Cauda Equina Syndrome The Bmj

Https Encrypted Tbn0 Gstatic Com Images Q Tbn And9gcrmunccb9as1uemblc1ylczmgfupzeo1zhcfivyh4qh49 Iv2nq Usqp Cau

Https Encrypted Tbn0 Gstatic Com Images Q Tbn And9gcrmunccb9as1uemblc1ylczmgfupzeo1zhcfivyh4qh49 Iv2nq Usqp Cau

Redundant Nerve Roots Of The Cauda Equina Review Of The Literature

Redundant Nerve Roots Of The Cauda Equina Review Of The Literature

Cauda Equina Syndrome

Cauda Equina Syndrome

The Usefulness Of Lumbar Spine Mri For Cauda Equina Syndrome

The Usefulness Of Lumbar Spine Mri For Cauda Equina Syndrome

Causes Of Cauda Equina Syndrome

Causes Of Cauda Equina Syndrome

Primary Cauda Equina Lymphoma Diagnosed By Nerve Biopsy A Case Report And Literature Review

Primary Cauda Equina Lymphoma Diagnosed By Nerve Biopsy A Case Report And Literature Review

Doing More With Less Diagnostic Accuracy Of Ct In Suspected Cauda Equina Syndrome American Journal Of Neuroradiology

Doing More With Less Diagnostic Accuracy Of Ct In Suspected Cauda Equina Syndrome American Journal Of Neuroradiology

Cureus Posterior Epidural Migration Of A Lumbar Disc Herniation Causing Cauda Equina Syndrome A Case Report

Cureus Posterior Epidural Migration Of A Lumbar Disc Herniation Causing Cauda Equina Syndrome A Case Report

Neoplastic Cauda Equina Syndrome A Neuroimaging Based Review Practical Neurology

Neoplastic Cauda Equina Syndrome A Neuroimaging Based Review Practical Neurology

Evaluation And Management Of Cauda Equina Syndrome In The Emergency Department The American Journal Of Emergency Medicine

Evaluation And Management Of Cauda Equina Syndrome In The Emergency Department The American Journal Of Emergency Medicine

Lumbar Spontaneous Pyogenic Epidural Spinal Abscess With Cauda Equina Syndrome A Rare Case Sciencedirect

Lumbar Spontaneous Pyogenic Epidural Spinal Abscess With Cauda Equina Syndrome A Rare Case Sciencedirect

Cauda Equina Syndrome Samarpan Physiotherapy Clinic Ahmedabad

Cauda Equina Syndrome Samarpan Physiotherapy Clinic Ahmedabad

Schistosomal Myeloradiculopathy A Case Report

Schistosomal Myeloradiculopathy A Case Report

Primary Cauda Equina Lymphoma Diagnosed By Nerve Biopsy A Case Report And Literature Review

Primary Cauda Equina Lymphoma Diagnosed By Nerve Biopsy A Case Report And Literature Review

Figure2 Lumbar Spine Mri Performed In Case 2 Lumbar Spine Mri Imaging Download Scientific Diagram

Figure2 Lumbar Spine Mri Performed In Case 2 Lumbar Spine Mri Imaging Download Scientific Diagram

Against The Odds Extraordinary Recovery From Complete Cauda Equina Syndrome Following L3 Fracture Time Still Matters Spinal Cord Series And Cases

Against The Odds Extraordinary Recovery From Complete Cauda Equina Syndrome Following L3 Fracture Time Still Matters Spinal Cord Series And Cases

Cauda Equina Syndrome Wikidoc

Cauda Equina Syndrome Wikidoc

Cauda Equina Syndrome After Spinal Anaesthesia In A Patient With Asymptomatic Tubercular Arachnoiditis Sethi D Gupta M Sood S Indian J Anaesth

Cauda Equina Syndrome After Spinal Anaesthesia In A Patient With Asymptomatic Tubercular Arachnoiditis Sethi D Gupta M Sood S Indian J Anaesth

Contrast Uptake By Anterior Roots In Acute Motor Axonal Neuropathy Neurologia English Edition

Contrast Uptake By Anterior Roots In Acute Motor Axonal Neuropathy Neurologia English Edition

Mri Appearances Of Extramedullary Haematopoiesis Presenting With Cauda Equina Syndrome In Sickle Cell Disease Clinical Radiology

Mri Appearances Of Extramedullary Haematopoiesis Presenting With Cauda Equina Syndrome In Sickle Cell Disease Clinical Radiology

The Proof S In The Pudding Case Of Cauda Equina Syndrome Due To Known Sarcoid The American Journal Of Medicine

The Proof S In The Pudding Case Of Cauda Equina Syndrome Due To Known Sarcoid The American Journal Of Medicine

Destructive Dural Ectasia Of Dorsal And Lumbar Spine With Cauda Equina Syndrome In A Patient With Ankylosing Spondylitis

Destructive Dural Ectasia Of Dorsal And Lumbar Spine With Cauda Equina Syndrome In A Patient With Ankylosing Spondylitis

2

2

Ohi Ne0vjqhfmm

Ohi Ne0vjqhfmm

Cauda Equina Syndrome In Ankylosing Spondylitis Challenges In Diagnosis Management And Pathogenesis The Journal Of Rheumatology

Cauda Equina Syndrome In Ankylosing Spondylitis Challenges In Diagnosis Management And Pathogenesis The Journal Of Rheumatology

Https Encrypted Tbn0 Gstatic Com Images Q Tbn And9gcsq2sxanfszjh5u0j7upuov0nw5zmgzrhzf6b5l0tf Ngdsn63 Usqp Cau

Https Encrypted Tbn0 Gstatic Com Images Q Tbn And9gcsq2sxanfszjh5u0j7upuov0nw5zmgzrhzf6b5l0tf Ngdsn63 Usqp Cau

CES can lead to incontinence and even permanent paralysis.

The cauda equina nerve roots send signals from the lower limbs. Pathology of the cauda equina can arise from a nerve root pia mater or arachnoid space. Cauda equina syndrome CES is a rare condition with a disproportionately high medico-legal profile. If a patient is thought to be in the first stage of the condition called incomplete cauda equina syndrome then the MRI scan is an emergency. Previous guidelines have suggested that imaging be performed. Magnetic resonance imaging MRI scan is essential to rule out cauda equina as no single or collective features will definitely confirm or exclude diagnosis. However a normal bladder scan does not exclude cauda equina syndrome and this occurs in 40-60 of cases. Vertebral canal containing cauda. This portion of the spinal cord ends at the lower back and individual nerve roots at the end of the cord continue along the spinal canal and provide motor and sensory functions in the legs and bladder.


The cauda equina nerve roots send signals from the lower limbs. By contrast a cross sectional MRI view at L5S1 in a patient without cauda equina syndrome showing an unobstructed vertebral canal arrows from top down. Cauda equina syndrome CES occurs when the nerve roots of the cauda equina are compressed and disrupt motor and sensory function to the lower extremities and bladder. Pathology of the cauda equina can arise from a nerve root pia mater or arachnoid space. Usually Not Appropriate O Bone scan whole body with SPECT or. Bladder volume scanning can be useful for detecting urinary retention. In the correct clinical context cauda equina syndrome cannot be discounted without MRI imaging ruling out cauda equina compression.

Posting Komentar untuk "Cauda Equina Syndrome Mri With Or Without Contrast"